155 Barnwood Drive | Edgewood, KY 41017 | 859-331-3400

Dental Implants

implantsImplants

If you have missing teeth, it is crucial to replace them. Without all your teeth, chewing and eating can destabilize your bite and cause you discomfort. When teeth are missing, your mouth can shift and even cause your face to look older. Implants are a great way to replace your missing teeth.

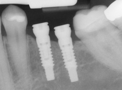
implants processAn implant is a new tooth made of materials that looks just like your natural tooth. Your implant is composed of two parts that mimic a tooth's root and crown. The implant's "root" is a titanium rod placed into the jaw bone to act as a root. Once the rod is in place, a porcelain crown is attached to replace the top part of your tooth.

Implants may also be used to anchor dentures, especially lower dentures that tend to shift when you talk or chew. Plus, for patients with removable partial dentures, implants can replace missing teeth so that you have a more natural-looking smile.

↑ Back to top

Patient Login | Home
Our Team | New Patients | Services
Invisalign® | FAQs | Contact Us | Site Map

patient login counter